RTG stomatologiczne, CBCT od 100 zł Świętochłowice
Szukasz miejsca na RTG lub tomografię CBCT w swojej okolicy? Przygotowujesz się do leczenia, implantów albo chcesz profilaktycznie sprawdzić zęby?
Zapraszamy do naszej pracowni przy ul. Sikorskiego 1 w Świętochłowicach.
Dlaczego my?
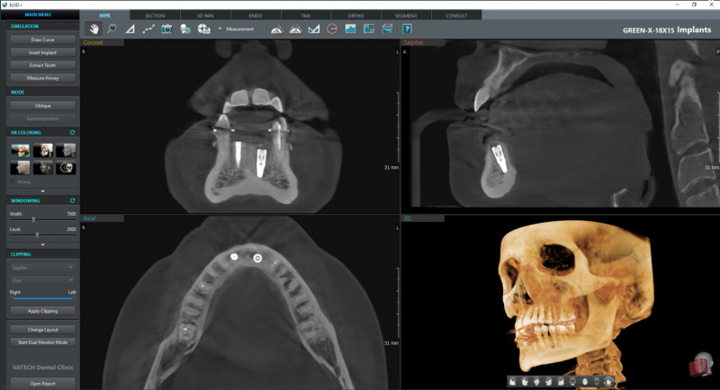
Nowoczesny tomograf Vatech Green X (model 2025) – bezpieczny także dla dzieci
Dokładne obrazy 2D i 3D – niezbędne w chirurgii, ortodoncji, endodoncji i laryngologii
Zakres obrazowania – od pojedynczego zęba po całą czaszkę
Szybkie skanowanie CBCT – 2,9 sekundy
AI – redukcja zakłóceń, precyzyjne zdjęcia panoramiczne
Tryb Endo – wyjątkowa dokładność w diagnostyce kanałów
Szybki opis badań – współpraca z 16 radiologami
Minimalna dawka promieniowania – nieszkodliwe dla dzieci i osób, które muszą regularnie się diagnozować
Badania wykonuje dyplomowana elektroradiolog lic. Zuzanna Ziółkowska
Ceny od 100 zł
Ważne dla pacjentów
Do RTG i CBCT wymagane jest skierowanie – u nas otrzymasz je od dentysty podczas konsultacji
Na wizytę zdejmij biżuterię i piercing z głowy/szyi
W przypadku dzieci – zabierz książeczkę zdrowia
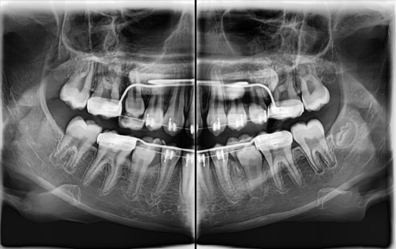
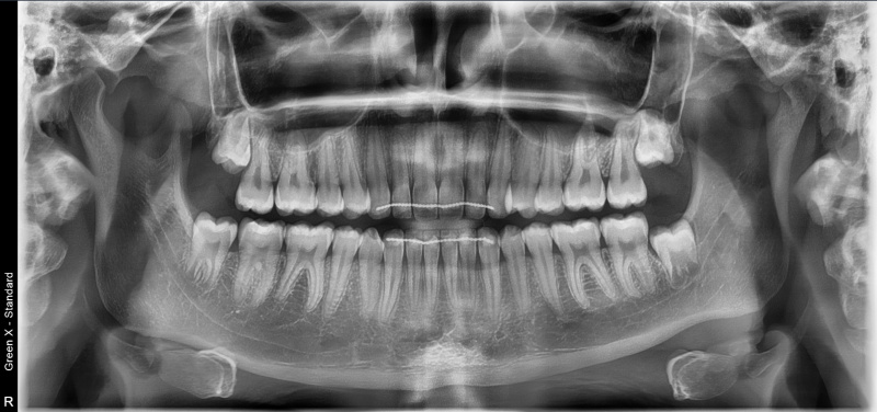
Dlaczego warto zrobić pantomogram?
Zdjęcie panoramiczne pokazuje całe uzębienie i kości szczęki oraz żuchwy, ujawniając zmiany niewidoczne na RTG punktowym (torbiele, guzy, zapalenia, zwyrodnienia stawów). To badanie profilaktyczne, zalecane co 2 lata.
CBCT w skrócie
Nowoczesna tomografia 3D twarzoczaszki – zębów, kości, zatok i stawów. Badanie jest szybkie, bezbolesne, a skan trwa zaledwie 2,9 sekundy.
Opis badań
Zgodnie z prawem, obrazy radiologii stomatologicznej muszą być opisane przez lekarza radiologa – u nas opis otrzymasz szybko i bez problemu.
Dodatkowe atuty
Terminy nawet z dnia na dzień
Możliwość umówienia konsultacji stomatologicznej i wykonania badań podczas jednej wizyty
Wynik na płycie CD (do odtworzenia w każdym gabinecie)
Badania także w pozycji siedzącej – dostępne dla osób z niepełnosprawnościami
Parking i dogodny dojazd komunikacją
Postaw na nowoczesną diagnostykę! RTG stomatologiczne i CBCT od 100 zł w Świętochłowicach – zadzwoń i umów się już dziś.
Rejestracja telefoniczna: 510 809 408
Rejestracja on-line i pełna oferta badań: https://tiny.pl/4fj07myf











